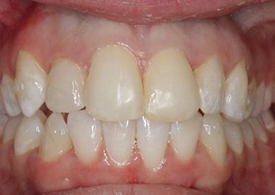
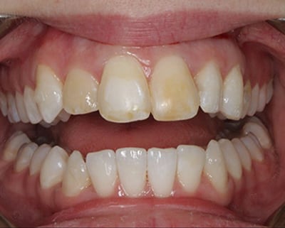
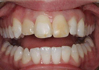
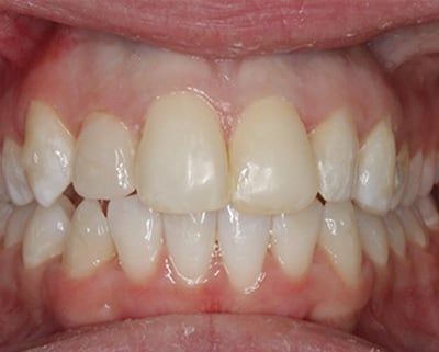
MenuSmile MakeoversClear AlignersTMD/TMJCrownsImplantsFrenectomyPorcelian RestorationsBonding ← Last Patient Before Bonding After Bonding